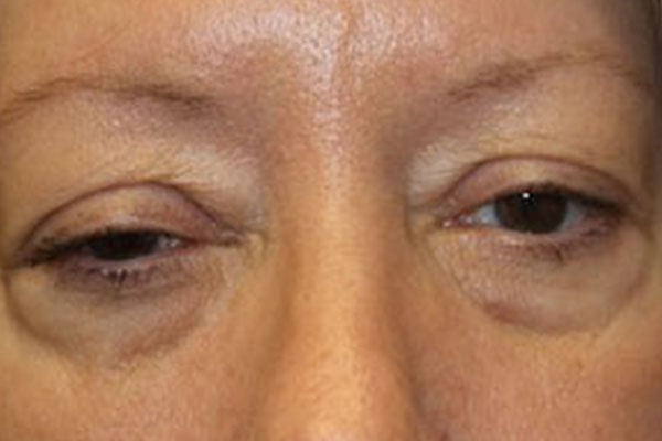
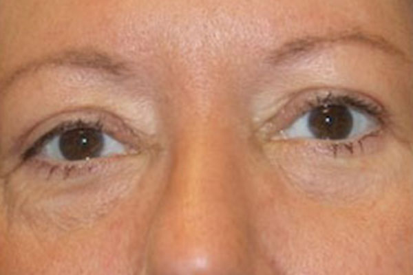
Ptosis Case 48 Back to Ptosis Photo Gallery Home Previous Patient Next Patient Gender Female Description Bilateral Upper Eyelid Ptosis Repair. Previous Patient Next Patient